logo

​罕见的梅毒性肝炎!临床表现及诊治要点

国际肝病 发表时间:2023/4/3 18:08:20 浏览量:478

陈洁 王雪 汤善宏
 
西部战区总医院消化内科
 
编者按:为了帮助临床肝病医生扩宽视野、丰富实践,培养临床思维能力,《国际肝病》特邀请西部战区总医院消化内科汤善宏教授团队共同打造“Liver疑难病例”专栏。本栏目汇集了汤善宏教授团队多年临床诊治工作中所遇到的“经典病例”,同时也将定期搜集知名学术期刊所刊发的或复杂或罕见的临床病例,重点阐述各种肝病的诊疗思路,为广大同道提供宝贵的临床借鉴。
 
主题述评
 
肝损害原因包括病毒、脂肪病变、自身免疫性、药物性、淤血性、遗传代谢性等,在我国主要表现为嗜肝病毒包括甲、乙、丙及戊型病毒引起的肝炎,非嗜肝病毒包括疱疹病毒、EB病毒等导致的肝损害较少见,梅毒螺旋体(Treponema pallidum)引起的性传播疾病导致的梅毒性肝炎则更少见。近年来,梅毒的发生率逐年升高,但肝脏受累是非常罕见的,且常发生在二期。梅毒肝炎主要特点是血清碱性磷酸酶(ALP)水平高,谷丙转氨酶(ALT)和谷草转氨酶(AST)通常正常或只有轻微异常,皮肤皮疹典型表现为弥漫性、对称性斑疹,累及躯干和四肢[1]。本文主要报道了西部战区总医院消化内科近期诊治的1例以肝功能异常、胆汁淤积为主要表现的梅毒性肝炎,为该类患者诊治提供借鉴。
 
病例简介
 
主诉:患者男性54岁,主因“乏力纳差10余天”于2022-11-20入院。
 
现病史:患者缘于10余天前无明显诱因出现乏力、纳差,表现为四肢无力。
 
既往史:15余年前有“肝炎”病史(具体不详),经药物治疗后好转。
 
个人嗜好:吸烟20余年,约每日20支,偶有少量饮酒。近一月无任何药物使用史;否认冶游史、静脉用药史。
 
入院查体:四肢散在红斑丘疹痂壳形成,伴瘙痒(图1);全身皮肤巩膜无黄染,未见蜘蛛痣及肝掌,腹部平坦,未见胃肠蠕动波,腹软,全腹无压痛、反跳痛及肌紧张,肝脾肋下未扪及,肝肾区无叩痛,移动性浊音阴性,肠鸣音正常。
 
图1. 住院期间患者皮疹照片
 
实验室检查:血小板计数502×109/L、血红蛋白浓度129 g/L;肿瘤标志物正常;肝功能15项:ALT 115.4 IU/L、AST 53.1 IU/L、ALP 724.7 IU/L、γ-GT 773.1 IU/L;余肝炎病原学检查、自身免疫性肝炎抗体检测(组合)全阴性,血浆EB病毒DNA定量PCR、血浆人巨细胞病毒PCR定量、免疫球蛋白均正常。
 
影像学检查:腹部彩超提示左肾囊肿,右肾囊肿伴部分囊壁钙化。CT提示扫及肝实质密度稍减低,脂肪肝(?)。
 
传播九项:梅毒(ELISA法)阳性(+)、甲苯胺红不加热血清试验阳性1:64、梅毒螺旋体明胶凝集试验阳性(+)。
 
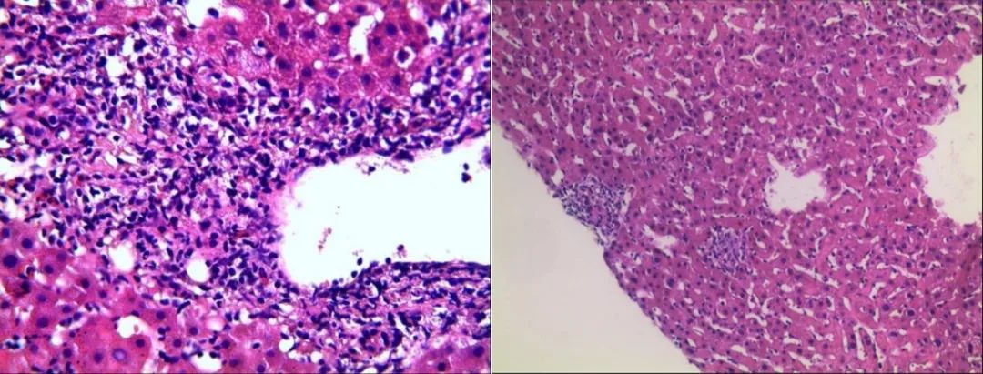
2022-11-21行肝穿活检:肝组织结构大致正常,未见淤胆及脂变,肝实质散在点状坏死灶及慢性小肉芽肿结节分布;全切片查见5个较为完整的汇管区,小胆管轻度扩张,数目不增加,管周较多淋巴细胞、浆细胞及少量中性粒细胞浸润,侵蚀界面,个别汇管区组织细胞聚集、小肉芽肿形成。考虑特发性肉芽肿性肝炎。免疫标记:CD34(灶+)、CK19(小胆管+)、HbsAg(-)(图2)。
 
图2. 行右肝穿刺,肝组织结构大致正常,未见淤胆及脂变,肝实质散在点状坏死灶及慢性小肉芽肿结节分布;全切片查见5个较为完整的汇管区,小胆管轻度扩张,数目不增加,管周较多淋巴细胞、浆细胞及少量中性粒细胞浸润,侵蚀界面,个别汇管区组织细胞聚集、小肉芽肿形成。
 
治疗经过:患者肝穿活检结果提示梅毒性肝炎可能性大,遂于2022-11-27、2022-12-04、2022-12-11予以注射用苄星青霉素(长效青霉素) 120万单位肌肉注射(双侧臀部)治疗。2023-02-02复查肝功能:ALP 103 U/L、γ-GT 159 U/L、ALT/AST:0.8。2023-03-04复查肝功能:ALP 95 U/L、γ-GT 111 U/L、ALT/AST:0.9。肝酶下降,苄星青霉素治疗效果良好。
 
专家点评
 
肝损害为临床较为常见现象,病因学众多,以胆汁淤积为主要表现的肝损害原因包括药物性、自身免疫性、梗阻性黄疸、病毒性肝损害[2],前期本研究团队相继报道了淋巴瘤及肝淀粉样变性变性患者以胆汁淤积为主要表现[3,4]。梅毒是导致不明肝炎的病原体之一,发病机制尚不明确。Harn于1943年首次整体描述介绍了梅毒性肝炎。2004年,Mullick[5]提出了梅毒性肝炎的诊断标准,包括:1)肝酶水平异常;2)梅毒的血清学证据;3)排除肝病的其他原因;4)在适当的抗菌治疗后,肝酶水平恢复正常。
 
该患者肝酶表现为ALP、γ-GT明显升高,而ALT、AST轻度升高,且梅毒血清学实验阳性,肝炎病原学、自身免疫性肝炎抗体等检查全阴性;肝脏病理示:小胆管轻度扩张,数目不增加,管周较多淋巴细胞、浆细胞及少量中性粒细胞浸润,侵蚀界面,个别汇管区组织细胞聚集、小肉芽肿形成。因此在排除药物、自身免疫等其他可能原因,该患者考虑梅毒感染导致肝损害可能性大。
 
根据亚洲2022年梅毒指南[6],早期梅毒的治疗可选择苄星青霉素240万单位单剂量注射;在没有苄星青霉素的情况下,或在青霉素过敏患者中,早期梅毒患者建议口服多西环素(100 mg,每日2次)或口服四环素(500 mg,每日4次),疗程为14天。多西环素优于四环素,因为给药频率较低且有胃副作用。此类患者的另一种选择是头孢曲松,每天1 g,连续10天,通过静脉或肌肉注射,还可以口服阿莫西林1.5-3 g/d,分3次服用,服用或不服用0.75-1.5 g/d的丙磺舒,持续2-4周。
 
晚期梅毒的治疗,包括晚期潜伏梅毒和三期梅毒,不包括神经梅毒,可选择每周一次肌肉注射苄星青霉素240万单位进行治疗,共3周;在没有苄星青霉素的情况下,或在青霉素过敏的非妊娠患者中,另一种替代方案涉及口服多西环素(100 mg,每日2次)或口服四环素(500 mg,每日4次)的28天疗程。此类患者的另一种有效替代方案是口服阿莫西林1.5 g/d,分3次服用,服用或不服用丙磺舒0.75-1.5 g/d,持续4-8周。
 
疗效判定根据螺旋体检测滴度的变化,治愈的血清学标准是螺旋体检测滴度下降4倍。本病例在进行青霉素抗菌治疗后,肝酶下降并逐步恢复正常,符合以上诊断标准,因此该病例诊断为梅毒性肝炎成立。
 
梅毒性肝炎是一种罕见的疾病,患者一般没有特定的症状,升高的肝酶,尤其是碱性磷酸酶和γ-谷氨酰转移酶作为特征之一,其组织学特征包括胆管炎症浸润和肉芽肿性改变,这可能引起血液中碱性磷酸酶和GGT水平升高有关;且常在疾病的第二阶段才会被发现。成人梅毒性肝炎的临床表现往往是非特异性的,临床上早期梅毒性肝炎极易漏诊、误诊,常见的肝脏损伤表现有乏力、纳差、黄疸等[7]。梅毒皮疹通常表现为非瘙痒性多发性红斑和非连续性斑丘疹病变,好发在躯干、手掌和足底,其他常见症状包括低烧、腹痛、头痛、喉咙痛、头痛、体重减轻、关节痛或肌痛、脾肿大、淋巴结病和葡萄膜炎[1]。总之,在对于肝酶(主要是胆汁淤积酶)不明原因升高和不安全性暴露的流行病学背景的患者,应考虑这种病因,早发现早治疗。
 
参考文献:
 
[1] KAYA A, KAYA S Y. Management of syphilitic hepatitis [J]. BMC Gastroenterol, 2020, 20(1): 379.
 
[2] 黄怡 杜, 张勇,汤善宏. 梗阻性黄疸病因分析 [J]. 临床消化病杂志, 2023, 35(01):76-9.
 
[3] 汤善宏 程, 秦建平等. 原发性淀粉样变性致巨大肝伴高尿酸血症1例报告 [J]. 临床肝胆病杂志, 2014, 2014,30(10):1076-7.
 
[4] 徐华谦 魏, 张雪等. 以重度胆汁淤积为主要表现的弥漫性大B淋巴细胞淋巴瘤1例报告 [J]. 临床肝胆病杂志, 2022, 38(12):2821-3.
 
[5] MULLICK C J, LIAPPIS A P, BENATOR D A, et al. Syphilitic hepatitis in HIV-infected patients: a report of 7 cases and review of the literature [J]. Clin Infect Dis, 2004, 39(10): e100-5.
 
[6] MEHTA N, BHARI N, GUPTA S. Asian guidelines for syphilis [J]. J Infect Chemother, 2022, 28(8): 1084-91.
 
[7] ALEMAM A, ATA S, SHAIKH D, et al. Syphilitic Hepatitis: A Rare Cause of Acute Liver Injury [J]. Cureus, 2021, 13(5): e14800.
 
 
撰稿人
 
陈洁,成都医学院2022级消化内科硕士研究生在读,主要研究肝再生、肝衰竭等方向的课题。
 
 
撰稿人
 
王雪,中国人民解放军消化内科医师,长期从事消化系统疾病的诊治工作,擅长消化道出血、消化道肿瘤、自身免疫性肝病、胰腺炎的诊治。
 
审稿人
 
汤善宏,西部战区总医院消化内科主任
 
往期回顾
 
 
 
 
 
 
 
 
 
 
 
声明:本文仅供医疗卫生专业人士了解最新医药资讯参考使用,不代表本平台观点。该信息不能以任何方式取代专业的医疗指导,也不应被视为诊疗建议,如果该信息被用于资讯以外的目的,本站及作者不承担相关责任。
版面编辑:张雪   责任编辑:付丽云
本内容仅供医学专业人士参考
相关搜索:  梅毒性肝炎

发表评论

提交评论
  • 相关推荐
  • 学术领域
返回
顶部